What happens after SARS-CoV-2 (Corona Virus) enters your body?
Posted on September 25, 2022 • 3 minutes • 557 words
As the world is fighting with nCoViD-19 (Corona virus disease) people are getting more conscious about personal hygiene and social etiqutte to prevent themselves from getting infected. The virus is very dangerous mainly due to high infectivity (because of droplet and air borne transmission), genetic material is RNA which is highly prone to mutations (random changes in genetic material) making vaccine development and development of natural immunity difficult and asymptomatic spreaders. It can be devastating to the elderly and people with comorbidities.
It is also important for the general public to know how this disease develops after infection. In this post, I will try to explain the development of this disease in common words without using too much medical jargon.
The development of the disease can be divided into three stages. They are:
Stage 1: Asymptomatic stage (Day 1 - 2) After inhaling the viral particles, they bind to epithelial cells in the nasal cavity (outer most layer of cells lining your nose) and start to multiply. There will be limited immune response. Virus can be detected through nasal swabs by RT-PCR at this stage. There are less number of viral particles but you are infectious. Viral load can be determined by number of cycle threshold of RT-PCR. The higher the cycle threshold, the lower the viral load. Asymptomatic super-spreaders can be detected by this method.
![]() |
|---|
| © Copyright 2021Tocris Bioscience |
Stage 2: Upper airway and conducting airway response (next few days) As the virus continues multiplying, it migrates down the repiratory tract along the pharynx, larynx, trachea, bronchi and bronchioles (Wind pipes).
![]() |
|---|
| Respiratory tract of human. |
The infected cells produces some molecules called cytokines which cause inflammation and induce production of C-Reactive Protein (CRP) by the liver as part of the immune response. The inflammation causes fever, secretions, body pains, congestion, irritation, cough, weakness etc. This is when the disease manifests clinically.
In most (80%) of the individuals, the disease is mild and confined to the upper respiratory tract and conducting airways. These patients can be managed at home with symptomatic treatment as the immune system in our body takes care of fighting the virus.
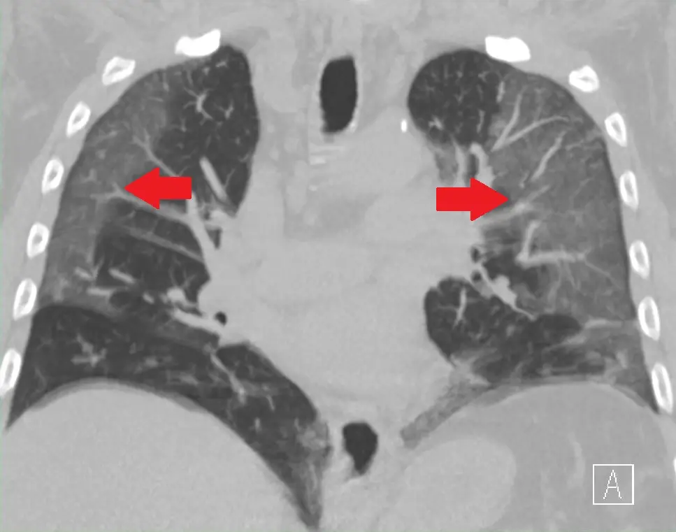
Stage 3: Hypoxia, ground glass infiltrates, and progression to ARDS In about 20% of the patients, the disease progresses to stage 3 and they develop pulmonary (lung) infiltrates. And some of them will develop severe disease. The virus starts to infect the alveolar (microscopic air sacs) cells and replicate inside killing the cells in the process. This leads to death of alveolar cells and secretion of fluids and infiltration of immune cells into the alveoli. This is the reason for developing groud glass opacities in the radiographs (CT and X-Rays)(Fluids appear opaque (white) on an x-ray compared to air).
![]() |
|---|
| Ground Glass Opacities in High Resolution Computed Tomography (HRCT) image of Chest. |
It leads to filling of alveoli with fluid and the gas exchange becomes difficult leading to breating difficulty and fall in oxygen saturation (SpO2). The damaged alveoli are replaced with fibrous tissue which leads to decreased lung capacity permanently.
![]() |
|---|
| Life Cycle of Corona Virus |
![]() |
|---|
Now that you know how Covid-19 is caused, stay home and stay safe.
Reference: Pathogenesis of COVID-19 from a cell biology perspective
Robert J. Mason European Respiratory Journal 2020 55: 2000607; DOI: 10.1183/13993003.00607-2020
Please subscribe to my newsletter to get all my interesting articles to your inbox.
Share this article:
Medical Advice Disclaimer: DISCLAIMER: THIS WEBSITE DOES NOT PROVIDE MEDICAL ADVICE The information, including but not limited to, text, graphics, images and other material contained on this website are for informational purposes only. No material on this site is intended to be a substitute for professional medical advice, diagnosis or treatment. Always seek the advice of your physician or other qualified health care provider with any questions you may have regarding a medical condition or treatment and before undertaking a new health care regimen, and never disregard professional medical advice or delay in seeking it because of something you have read on this website.




